Ottawa Subaraknoid Kanama Kuralları kimlere uygulanmalıdır?
- ≥ 15 yaşından büyük olan hastalar
- Şiddetli, zirveye 1 saatte ulaşan atravmatik baş ağrısı
- İntrakraniyal tümör öyküsü olmayan
- Kronik baş ağrıları öyküsü olmayan ( 3 kez benzer ağrı atak olan veya
6 aydır benzer karakter ve yoğunlukta baş ağrısı) - Önceden subaraknoid kanama veya anevrizma öyküsü olmayan
- Yeni nörolojik defisiti olmayan
Ottawa Subaraknoid Kanama Kuralını oluşturan risk faktörleri
- Yaş ≥ 40
- Boyun da ağrı veya sertlik
- Tanıklı bilinç kaybı
- Efor sırasında başlaması
- “Thunderclap başağrısı” (anında şimşek çakar gibi baş ağrısı)
- Muayenede boyun fleksiyonununda sınırlama (çeneyi göğüse dokunduramama veya başını 3 cm kaldırmama olarak tanımlanır)
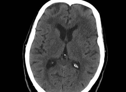
Bu risk faktörleri, spontan subaraknoid kanama için yüksek risk altında olmayan hasta popülasyonlarının sınırlarını belirler ve daha fazla tetkik gerektirmeyen hasta popülasyonunu ayırt etmeyi sağlar. subaraknoid kanama tanılı hastalar acil servise ilk başvuruda % 5.4 hasta yanlış tanı konulur.
Kaynak
1. Jeffrey J. Perry, Ian G. Stiell, Marco L. A. Sivilotti. Et al. Clinical Decision Rules to Rule Out Subarachnoid Hemorrhage for Acute Headache. JAMA. 2013;310(12):1248-1255
2. Bellolio, M. F., Hess, E. P., Gilani, W. I., VanDyck, T. J., Ostby, S. A., Schwarz, J. A., … & Rabinstein, A. A. (2015). External validation of the Ottawa subarachnoid hemorrhage clinical decision rule in patients with acute headache. The American journal of emergency medicine, 33(2), 244-249.












