• Resusitasyon
  • Travma
  • Ultrason
  • İLETİŞİM
Cuma, Ocak 30, 2026
  • Giriş
  • Kayıt
Sonuç yok
Tüm Sonucu Gör
aciltıp.com
  • Anasayfa
  • Resusitasyon
  • Toksikoloji
  • Travma
  • Kardiyak Aciller
  • Radyoloji
  • COVID 19
  • Tıpunk
  • Bloglar
  • Anasayfa
  • Resusitasyon
  • Toksikoloji
  • Travma
  • Kardiyak Aciller
  • Radyoloji
  • COVID 19
  • Tıpunk
  • Bloglar
Sonuç yok
Tüm Sonucu Gör
aciltıp.com
Sonuç yok
Tüm Sonucu Gör

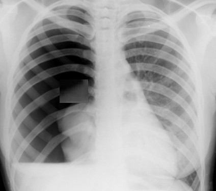
Pnömotoraks hacim hesabı nasıl yapılır?

yazan AYDIN SARIHAN
17/05/2013
içerik Cerrahi Aciller
Reading Time: 1 min read
16 1
A A
0

Pnömotoraks

25
Paylaş
825
görüldü

Pnömotoraks

Pnömotoraks Hacim Hesabı:

Etiket: pnömotoraksPnomotoraks hacim hesabipnömotoraks hacmitoraks tüpütüp torakostomi
AYDIN SARIHAN

AYDIN SARIHAN

ilgili Yazılar

Akut abdomen

Akut abdomen

yazan Çağdaş Can
25/06/2025
0

Akut abdomen Kendi kendime konuşarak otelin koridorunda yürüyordum. Koridorda garip bir uğultu vardı. Odamda ise çıt çıkmıyordu. Şimdi tekrar koridordayım,...

Kolanjit belirsizliği

Kolanjit belirsizliği

yazan Çağdaş Can
05/06/2025
0

Kolanjit Güneş batmak üzereydi. En sevdiği saatler... Bu kadar çok yüksek binaya gerek var mıydı? Son ışıklar evlerin pencerelerinde parıldıyordu....

Cerrahisiz akut apandisit

Cerrahisiz akut apandisit

yazan Çağdaş Can
17/03/2025
0

Apandisit Asistanların toplandığı yerdeyiz. Eğitim hayatı bitmedikçe kantin de bitmiyor demek. Kocaman insanlar olduk halen öğlen arası çayları... Tek şeker,...

İleri yaş hastalardaki abdominal ağrı

İleri yaş hastalardaki abdominal ağrı

yazan Çağdaş Can
10/10/2024
0

Karın ağrısı Bulutlu, nemli bir öğleüstüydü. Günün bu saatlerini oldum olası sevmezdim. Üstelik daktilomun B harfi kaybolmuştu, nasıl kaybolduğunu bilmiyordum....

Kalkülsüz kolesistit

Kalkülsüz kolesistit

yazan Çağdaş Can
18/09/2024
0

Kolesistit Yeni taşındığım evden bahsetmek istiyorum. Herkese rağmen taşındım diyebiliriz. Benden önce oturan ve evin sahibi olan kişi fotoğrafçıymış ve...

Apandis Gerçekleri

Apandis Gerçekleri

yazan Çağdaş Can
06/12/2023
0

  Klinisyenin malpraktis zirvesidir. Apandis, apandisit olduğu anda mahkemeye doğru ince beyaz çizgi oluşur. Sinsi ve hilekar olan apandisit konumuz...

Bir yanıt yazın Yanıtı iptal et

E-posta adresiniz yayınlanmayacak. Gerekli alanlar * ile işaretlenmişlerdir

Bu site istenmeyenleri azaltmak için Akismet kullanır. Yorum verilerinizin nasıl işlendiğini öğrenin.

Sonuç yok
Tüm Sonucu Gör
Kardiyak Aciller

Hipertrofik Kardiyomiyopati Nedir?

yazan AYDIN SARIHAN
24/07/2017
İlaçlar

Hiyosin-N-butil bromür (Buscopan® )

yazan AYDIN SARIHAN
02/09/2018
Dahili Aciller

AcilTıp'ın 2015'i

yazan Çağdaş Can
16/12/2015
Toksikoloji

Evdeki Kimyasal Maddelerle Zehirlenme

yazan AYDIN SARIHAN
28/10/2012
Covid körlüğü
COVID 19

Covid körlüğü

yazan Çağdaş Can
27/08/2021
Adli Tıp

Suç ve Hak Kaybı

yazan Çağdaş Can
21/05/2016
  • Acil Tıp Video
  • TeknoAcil
  • Tıp Medya
  • Toksikoloji

© 2020 aciltıp.com

Welcome Back!

Sign In with Facebook
Sign In with Google
OR

Login to your account below

Forgotten Password? Sign Up

Create New Account!

Sign Up with Facebook
Sign Up with Google
OR

Fill the forms bellow to register

All fields are required. Log In

Retrieve your password

Please enter your username or email address to reset your password.

Log In
Sonuç yok
Tüm Sonucu Gör
  • Anasayfa
  • Resusitasyon
  • Toksikoloji
  • Travma
  • Kardiyak Aciller
  • Radyoloji
  • COVID 19
  • Tıpunk
  • Bloglar

© 2020 aciltıp.com