Karın ağrısı Vakası
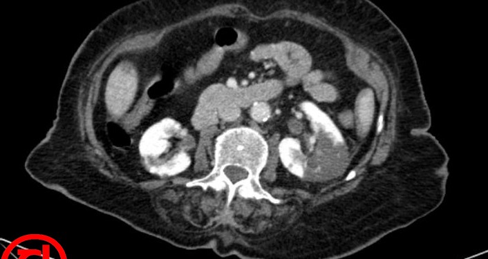
Karın ve sırt ağrısı şikayeti ile acil servise başvuran kırk beş yaşındaki erkek hastanın narkotik analjezi ile ağrısı kontrol altına alınamıyor. Bu durum acil servis içinde büyük üzüntü dalgası yaratıyor, hüzün radyolojik tetkikte meyvesini veriyor. Şekilde hastanın ilaçla beyazlatılmış iç organ tomografisi görülüyor!
Cevaplarınızı aşağıdaki yorum kısmına ekleyebilirsiniz.














Mezanter emekliden ayırmak zor olabilir. Tomonun diğer slaytlarida olsa daha iyi yanıt verebilirdim
Lezyon SMA nın aorttan ayrımının promsimalinde gibi. Sağ renal vende de iskemik alan var.intestinal duvar da iskemiden etkilenmiş.
Sol renal arter trombozu
Tanı: Sol Renal Arter Trombozu???
Narkotik ile geçmeyen ağrı, iskemik bir ağrıyı akla getirir. Acil asistanı arkadaşlar bilmelidir ki, iskemik karın ağrılarında DEFANS VE REBOUND beklemesinler. Defans ve rebound daha çok inflamatuar ağrının bulgusudur. İskemi nekroza ilerlerse ve inflamasyon gelişirse defans ve rebound olur. o zamanda geç kalınmış olur.
İskemik ağrılar: AMİ, orak hücre ağrılı kriz, mezenter iskemi, renal arter rombozu, iskemik SVH
( ani başlayan şiddetli ağrı paterni mevcut)
inflamatuar ağrı ( biliyorsunuz): akut apandisit, akut kolesistit. DEFANS, REBOUND, HASSASİYET. DRH(+
Kolik ağrı (gidip gelen ağrı): renal kolik, safra kesesi taşı, gastroenterit.
Bu hastaya muhtemelen EKG’de çekilmiştir. EKG’de yüksek olasılıkla Atrial Fibrilasyon vardır. AF emboli için çok güzel bir kaynak. Hatta troponin, CKMB bile istenmiştir. Muhtemelen kardiak markerlar normalin üstünde gelecek ve kardiyoloji uzmanı zor durumda kalacak. Hastayı Akut koroner sendrom tanısı ile koroner yoğun bakıma bile yatabilir.
Tanı: Sol renal arter trombozu( sol böbreğin %50sinde kontrast tutulumu yok).
Hocam bu kadar yazdım. İnşallah tanıyı doğru tahmin etmişimdir. Yoksa rezil olurum.
Yanıtınız doğrudur. Ayrıntılı ve bilgilendirici cevabınız için teşekkür ederiz.