Tibia ve Fibula Kırıkları
Tibia ve fibula bacak kemikleri olup tibia vücudun ağırlığını büyük bir kısmını taşıyan kemiktir. Kırıkları Tibia ve fibula arası membran boyunca iletildiği için genellikle, tibia kırığına fibula kırığı eşlik eder.
Tibianın Plato Kırıkları
Tibia plato kırıkları varus yada valgus zorlanmaları ve aksiyal yüklenme sonucu oluşabilir. En sık etkilenen bölge tibianın lateral kısmıdır. Kırık belirgin bir şekilde diz ekleminin fonksiyonunu azaltır. Popliteal arter ve peroneal sinir yaralanmaları görülebilir ve nörovasküler durum sürekli olarak monitörize ve dokümante edilmelidir.
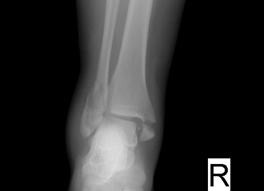
Segond kırığı
Segond kırığı tibia platosunu ilgilendiren atlanması olası bir kırıktır. Segond kırığı, yan tibia platosunun kopma tarzında bir kırığıdır. Bu kırıklara sıklıkla ön çapraz bağ yaralanmaları eşlik eder. Hastanın ağrısı kontrol altına alındıktan sonra ön çapraz bağ yaralanması açısından tekrar değerlendirilmelidir.
Maisonneuve kırığı:
Proksimal fibula kırığı ile birlikte iç malleol kırığı ya da deltoid bağ yaralanmasının birlikte görülmesidir. (Medial malleol kırığı + Distal tibofibuler ligamenlerin ayrışması + Proksimal fibula fraktürüdür.) ayak bileğinin pronasyona ve dış rotasyona zorlanması sonrası oluşur.
Maisonneuve kırığında ayak bileği travmalarında mutlaka proksimal fibulada bir patoloji olup olmadığına bakılmalıdır.
Tedavi: Ayak bileği stabilse uzun bacak ateli yapılır, Kırık unstabilse ligamenlerin tamiri cerrahi olarak yapılır.
Genelde tibia fraktürleri ile beraberdir, tedavisi tibiadaki injury’e bağlı
İsole fibula fraktürü direk o bölgeye gelen travma ile oluşur.
Vücut ağırlığının %15’ini taşır;hastalar genelde yürüyebilir
Proksimal fibula fraktürleri eksternal rotasyon ile distal fibula fraktürleri
internal rotasyon ile Distal fibula fraktürleri elastik bandaj ile immobilizasyon
Proksimal fibula fraktürleri dizin immobilizasyonu ile Sporcularda tekrarlayan travma ile distal fibula stres fraktürleri;ağrı kontrolü, istirahat, soğuk uygulama
Toddler kırığı%22%20transform%3D%22translate(1%201)%20scale(2.07031)%22%20fill-opacity%3D%22.5%22%3E%3Cellipse%20cx%3D%22123%22%20cy%3D%22179%22%20rx%3D%2235%22%20ry%3D%22131%22%2F%3E%3Cellipse%20fill%3D%22%23d2d2d2%22%20rx%3D%221%22%20ry%3D%221%22%20transform%3D%22matrix(-23.42309%20128.88894%20-31.44617%20-5.71474%2058.4%20117.2)%22%2F%3E%3Cellipse%20rx%3D%221%22%20ry%3D%221%22%20transform%3D%22matrix(-10.28965%2099.62992%20-24.86696%20-2.56823%200%2082.3)%22%2F%3E%3Cellipse%20cx%3D%22115%22%20cy%3D%22231%22%20rx%3D%2232%22%20ry%3D%22107%22%2F%3E%3C%2Fg%3E%3C%2Fsvg%3E)
- Nondeplase tibia distal spiral kırığıdır. Uygun yönetimi tespit etmek için ortopedi konsültasyonu istenir. Kompartman sendromu tibia plato kırığına eşlik edebilir ve eğer endikeyse kompartman basıncı ölçülmelidir.
Tedavi
Teşhis genellikle anteroposteriyor ve lateral grafilerle konulur. BT görüntüleme sıklıkla yaralanmanın genişliğini tanımlamak için kullanılır. BT ve MRI da kullanılabilir. Eğer damarsal yaralanmadan şüpheleniliyorsa ekstremite anjiografisi istenebilir.
Tibia ve Fibula Kırıklarının Stres kırıkları
Radyografik bulgular genellikle belirtilerin 2-8 hafta sonra görülür ve x-ray grafileri erken dönemde normal olabilir. Radyonükleotitin tarama ve MRG stres kırıkları teşhisi için daha duyarlıdır.
Genel Bilgiler
- Kompartman sendromu açısından dikkat etmelidir.
- BT görüntüleme tedavi planı için yararlıdır.
- Peroneal sinir ve popliteal arter yaralanmalarıyla ilişkili olabilir .
- Tibia lateral plato avülsiyon fraktürüdür. İç rotasyon ve varus stresi ile olur. Kayakçılar ve basketbol oynayanlarda sık görülür.
- Önemi: %75 olguda anterior cruciate ligamanın yırtılmasıdır!
- ACL, tibianın diz ekleminden öne kaymasını engeller.














