Yaygın damar içi pıhtılaşma
- Kanamaya yatkınlık ve anevrizma, ilişkili durmuyor öyle değil mi?
- Anlamlı bir bağlantı olabilir mi, patolojik bir kazan kazan ilişkisi mesela.
- Vücudunda morluk olan insanlara, affedersiniz siz de anevrizma var mıydı acaba, diye sormak gerekir mi?
- Yanıt verelim.
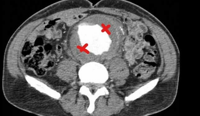
- 79 yaş erkek, trombositopenisi var, burun kanaması ve yaygın beden morluklarıyla, infrarenal abdominal aort anevrizmasından opere, geçenlerde ileus tanısı almış ve suprarenal anevrizma (8 cm) saptanmış. Anevrizması genişleyerek hastanın mortalitesini arttırmayı sürdürüyor.
- Aort stenozu da mevcut, özetle, hipotansif bradikardik yaşaması gerekenlerden.
- Bu sefer ameliyata alınmamış, riskli bulunmuş.
- Her şey tamam da, bu morlukların kaynağı ne, adli rapor mu tutalım, darptan mı şüphelenelim, henüz değil, dediğimiz gibi, anevrizması var ve kolay kanamanın nedeni olabilir, yazmaya devam edelim.
- Hgb 9, plt 70, wbc 4.8. Myelodisplazi akla geliyor, kemik iliği inceleniyor ama hayır, sorun yok. Pt 17.7, aPtt 42, fibrinojen 0.7, D-Dimer yüksek saptanıyor. Kanaması artarak devam eden hastaya kırmızı hücreler, trombosit, taze donmuş plazma ve kriyopresipitat veriliyor.
- Hasta yaygın damar içi pıhtılaşma tanısı alıyor. Ayırıcı tanı için sepsis taraması ve tümör belirteçlerine bakılıyor ama hayır, yine negatif bulgular.
- Bu hasta neden kanıyor.
- Kronik damar içi pıhtılaşmanın nedeni anevrizma.
- Yapılan çalışmalar göstermiş, anevrizma duvarında sürekli bir trombosit birikimi ve fibrinolitik aktivite var, vücut bitmeyen bir kanama yapışma döngüsünde, kaynaklarını boş beleş tüketiyor, kan elemanları içten içe eriyor, plt değeri 70 olan hastanın böyle kolay kanamaması gerekiyor.
- Kanama eğilimi olan anevrizmalı hastaların kronik yaygın damar içi pıhtılaşması olabilir.
Plt
doi: 10.1258/jrsm.95.11.556
Dr Çağdaş Can, Merkezefendi Devlet Hastanesi, Acil Tıp, Manisa













