• Resusitasyon
  • Travma
  • Ultrason
  • İLETİŞİM
Perşembe, Mart 5, 2026
  • Giriş
  • Kayıt
Sonuç yok
Tüm Sonucu Gör
aciltıp.com
  • Anasayfa
  • Resusitasyon
  • Toksikoloji
  • Travma
  • Kardiyak Aciller
  • Radyoloji
  • COVID 19
  • Tıpunk
  • Bloglar
  • Anasayfa
  • Resusitasyon
  • Toksikoloji
  • Travma
  • Kardiyak Aciller
  • Radyoloji
  • COVID 19
  • Tıpunk
  • Bloglar
Sonuç yok
Tüm Sonucu Gör
aciltıp.com
Sonuç yok
Tüm Sonucu Gör

Tanınız Nedir ?

yazan AYDIN SARIHAN
28/05/2014
içerik Radyoloji
Reading Time: 1 min read
24 1
A A
7
37
Paylaş
1.2k
görüldü

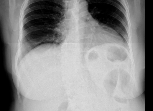
61 yaşında bayan hasta 3 gündür tekrarlayan sol üst kadran da karın ağrısı vardır. Hastanın çekilen Pa Akciğer grafisi aşağıdadır.

Tanınız nedir?   karin agrisi

Etiket: karın ağrısı
AYDIN SARIHAN

AYDIN SARIHAN

ilgili Yazılar

Beyin tomografisinde gözden kaçanlar

Beyin tomografisinde gözden kaçanlar

yazan Çağdaş Can
14/09/2025
0

Beyin BT Harçlığım yetmezdi, hiçbir zaman yetmemişti. Alışıktım. Ama o son olay. Evet, o olmasa iyiydi. Biyoloji dersi vererek kazandığım...

Deniz canlılarına kontrastlı tomografi isteyelim mi

Deniz canlılarına kontrastlı tomografi isteyelim mi

yazan Çağdaş Can
16/10/2019
0

IV İyotlu Kontrast 'R harflerini söyleyemiyor ama biz yazarken ekliyoruz' Altın Vazodaki Sarmaşık Kabuğu olması suç mu yani, kendisini koruması,...

skapula kırığı 3D

Ekstremite grafisi soruları 003

yazan AYDIN SARIHAN
12/11/2017
0

Aşağıdaki omuz grafisinde hangi patolojik bulgu görülmektedir? Hasta 5 metre yükseklikten sırtüstü düşmüştür.  Cevabı   ''Skapula kırığı'' <<<  Önceki Vaka Sonraki Vaka >>

Beyin Tomografisi Soruları 004

yazan AYDIN SARIHAN
07/11/2017
0

Yukarıdaki Beyin Tomografisinde ne görülmektedir? ÜSYE ile beraber devam eden ateş yüksekliği olan hastada, bilinç değişikliği başlamıştır. Yukardaki beyin tomografisi...

Ekstremite Kırıkları-20

yazan AYDIN SARIHAN
26/10/2017
0

Ekstremite Kırıkları - Skafoid kemiği kırığı 20 Skafoid kemiği kırığı  <<<  Önceki Vaka  Sonraki Vaka >>

Ekstremite Kırıkları-10

yazan AYDIN SARIHAN
08/10/2017
0

Ekstremite Kırıkları 10 Distal radius parçalı kırığı ve ulna styloid kırığı  <<<  Önceki Vaka  Sonraki Vaka >>

Yorum 7

  1. Özcan says:
    12 yıl önce

    Ipucu verseydiniz lezyon batındamı gögüstemi

    Yanıtla
    • Aydın SARIHAN says:
      12 yıl önce

      Her ikisinide ilgilendiriyor.

      Yanıtla
      • sd says:
        12 yıl önce

        hidatik kist? diafram hernisi?

        Yanıtla
        • aciltipuzmanlari says:
          12 yıl önce

          Diafram hernisi doğru yanıttır.

          Yanıtla
  2. ylmz says:
    12 yıl önce

    HASTANIN ERKEK OLDUGUNDAN EMİNMİYİZ?

    Yanıtla
    • Aydın SARIHAN says:
      12 yıl önce

      Dikkatiniz için teşekkür ederim. Hasta isminin ersen olması nedeniyle imaj üzerinde male olarak yer almış

      Yanıtla
  3. isml says:
    12 yıl önce

    Sol akciğer damar gölgeleri yok. Pnomotoraks.

    Yanıtla

Bir yanıt yazın Yanıtı iptal et

E-posta adresiniz yayınlanmayacak. Gerekli alanlar * ile işaretlenmişlerdir

Bu site istenmeyenleri azaltmak için Akismet kullanır. Yorum verilerinizin nasıl işlendiğini öğrenin.

Sonuç yok
Tüm Sonucu Gör
Adli Tıp

Hastanın Hastalığını Bilme Hakkı Yok mu

yazan Çağdaş Can
04/12/2016
Hipotansif hastada ultrasonografi
Güncel

Hipotansif hastada ultrasonografi

yazan Çağdaş Can
19/06/2025
Resusitasyon

AHA ECC Yetişkin Sağ Kalım Zinciri

yazan AYDIN SARIHAN
26/05/2013
Toksikoloji

Arsenik Zehirlenmesi

yazan AYDIN SARIHAN
10/06/2013
Ortopedik Aciller

Patella Yaralanmaları

yazan AYDIN SARIHAN
20/07/2014
İlaçlar

Nitroprussid

yazan AYDIN SARIHAN
14/06/2013
  • Acil Tıp Video
  • TeknoAcil
  • Tıp Medya
  • Toksikoloji

© 2020 aciltıp.com

Welcome Back!

Sign In with Facebook
Sign In with Google
OR

Login to your account below

Forgotten Password? Sign Up

Create New Account!

Sign Up with Facebook
Sign Up with Google
OR

Fill the forms bellow to register

All fields are required. Log In

Retrieve your password

Please enter your username or email address to reset your password.

Log In
Sonuç yok
Tüm Sonucu Gör
  • Anasayfa
  • Resusitasyon
  • Toksikoloji
  • Travma
  • Kardiyak Aciller
  • Radyoloji
  • COVID 19
  • Tıpunk
  • Bloglar

© 2020 aciltıp.com