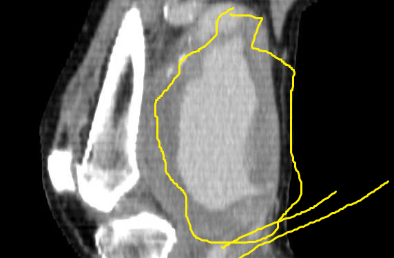
- Abdominal aort anevrizmasından sonra en sık görülen anevrizma popliteal artere aittir.
- Popliteal anevrizma, diz arkasındaki asemptomatik pulsatil kitlenin neden var olduğunu araştırırken aydınlatılır veya çoğunlukla rastgele saptanır, başka bir klinik tanı için tetkik istersin ve bir anda karşına çıkar.
- Sıklıkla bilateraldir, her iki dizin posterioru pulsasyondadır ve hiç istenmeyen birliktelik akılda tutulmalıdır, o da abdominal aort anevrizmasının eş zamanlı tanısallığı (popliteal arter anevrizması olanların %40’ında abdominal arter anevrizması da var).
- Popliteal anevrizma tromboz/rüptüre olursa ileri miktarda ektremite iskemisi görülür ki bu durum amputasyonla sonuçlanabilir.
- Popliteal anevrizmalı hastaya ‘popliteal abdominal arter anevrizması var’ demek hiç de fazla olmayacaktır.
PMID: 15933986












