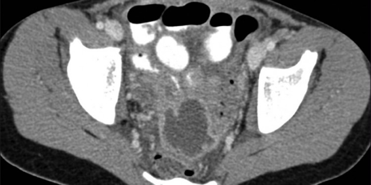
Kırk altı yaşındaki bayan pelvik cerrahi sonrası geçmeyen, azalmayan, dirençli karın ağrısı ile acil servise başvuruyor. Hastanın bir hafta önceki batın tomografisinin normal raporlandığını öğreniyorsun ama radyoaktif komplikasyonları göze alarak hastanın pelvisini kontrastlı tomografi ile görüntülüyorsun ve gördüklerini aciltıp.com senden istiyor.
Onun ateşi yükseliyor ve tansiyonu düşüyor. Karın ağrısı geçici olarak rahatlayan hastanın genel durumu giderek bozuluyor. K Devlet Hastanesi çalışanları yanıtın olmadan tedaviye başlamayı reddediyor.
Pelvis apsesi uzun süre tedavisiz kalan hasta ilk kalça nakli ile ödüllendiriliyor ve literatüre geçiyor.













