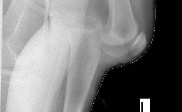
AP lateral oblik diz grafileri
Lateral grafide yağ-sıvı seviyesi (lipohemartrosis) ; intraartiküler kırık
Oblik grafiler:
- internal oblik: lateral plato
- external oblik: medial plato
- tünel (interkondiler) interkondiler bölge(tibia spine fraktürü)
- Aksiyal (tanjentiyal) patella Vertikal veya marginal patella kırıkları
Pittsburgh Diz Grafi Kuralları
- Düşme ya da künt yaralanma mı?…. Değilse x-ray yok
- var ise 12 yaş altı veya 50 yaş üzeri ise x-ray
- var ise 12 yaş üstü , 50 yaş altı ise hasta 4 adım yürüyebiliyor mu?…
Yürütemezsen x-ray
OTTOWA DİZ KURALLARI
*55 yaş üstü hasta
*fibula başınd hassasiyet
*izole olarak patella hassasiyeti
*diz fleksiyonunun 90 dereceden az olması
*acil serviste 4 adım atamama













