• Resusitasyon
  • Travma
  • Ultrason
  • İLETİŞİM
Perşembe, Mayıs 7, 2026
  • Giriş
  • Kayıt
Sonuç yok
Tüm Sonucu Gör
aciltıp.com
  • Anasayfa
  • Resusitasyon
  • Toksikoloji
  • Travma
  • Kardiyak Aciller
  • Radyoloji
  • COVID 19
  • Tıpunk
  • Bloglar
  • Anasayfa
  • Resusitasyon
  • Toksikoloji
  • Travma
  • Kardiyak Aciller
  • Radyoloji
  • COVID 19
  • Tıpunk
  • Bloglar
Sonuç yok
Tüm Sonucu Gör
aciltıp.com
Sonuç yok
Tüm Sonucu Gör

Ekstremite Kırıkları-3

yazan AYDIN SARIHAN
08/10/2017
içerik Radyoloji
Reading Time: 1 min read
15 1
A A
0
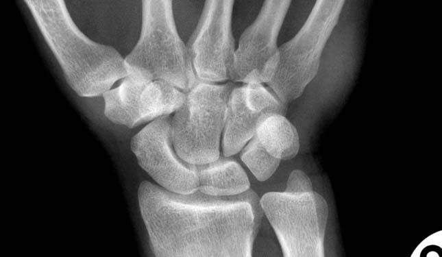
metakarpal kemik kırığı
23
Paylaş
779
görüldü

Ekstremite Kırıkları

3
2. metakarpal kemik fraktürü
2. metakarpal kemik bazis kırığı
 <<<  Önceki Vaka Sonraki Vaka >>
Etiket: direk grafiekstremiteFraktürmetakarpal kemik bazis kirigi
AYDIN SARIHAN

AYDIN SARIHAN

ilgili Yazılar

Acil tıpta en güncel bilgiler – 2

Acil tıpta en güncel bilgiler – 2

yazan Çağdaş Can
02/04/2026
0

Pulmoner ultrasonografi Yıllarca solunum sıkıntısı ile başvuran veya çoklu travma geçiren hastaların takibinde periferik oksijen satürasyonu ve solunum sayısına güvendik....

Beyin tomografisinde gözden kaçanlar

Beyin tomografisinde gözden kaçanlar

yazan Çağdaş Can
14/09/2025
0

Beyin BT Harçlığım yetmezdi, hiçbir zaman yetmemişti. Alışıktım. Ama o son olay. Evet, o olmasa iyiydi. Biyoloji dersi vererek kazandığım...

Deniz canlılarına kontrastlı tomografi isteyelim mi

Deniz canlılarına kontrastlı tomografi isteyelim mi

yazan Çağdaş Can
16/10/2019
0

IV İyotlu Kontrast 'R harflerini söyleyemiyor ama biz yazarken ekliyoruz' Altın Vazodaki Sarmaşık Kabuğu olması suç mu yani, kendisini koruması,...

skapula kırığı 3D

Ekstremite grafisi soruları 003

yazan AYDIN SARIHAN
12/11/2017
0

Aşağıdaki omuz grafisinde hangi patolojik bulgu görülmektedir? Hasta 5 metre yükseklikten sırtüstü düşmüştür.  Cevabı   ''Skapula kırığı'' <<<  Önceki Vaka Sonraki Vaka >>

Beyin Tomografisi Soruları 004

yazan AYDIN SARIHAN
07/11/2017
0

Yukarıdaki Beyin Tomografisinde ne görülmektedir? ÜSYE ile beraber devam eden ateş yüksekliği olan hastada, bilinç değişikliği başlamıştır. Yukardaki beyin tomografisi...

Ekstremite Kırıkları-20

yazan AYDIN SARIHAN
26/10/2017
0

Ekstremite Kırıkları - Skafoid kemiği kırığı 20 Skafoid kemiği kırığı  <<<  Önceki Vaka  Sonraki Vaka >>

Bir yanıt yazın Yanıtı iptal et

E-posta adresiniz yayınlanmayacak. Gerekli alanlar * ile işaretlenmişlerdir

Bu site istenmeyenleri azaltmak için Akismet kullanır. Yorum verilerinizin nasıl işlendiğini öğrenin.

Sonuç yok
Tüm Sonucu Gör
Dahili Aciller

Pulmoner Emboli Hastasında PA-Akciğer Grafisi nasıl okunur?

yazan Çağdaş Can
17/09/2012
Dahili Aciller

Aciltıpedia/Hasatçı

yazan Çağdaş Can
20/10/2016
Dahili Aciller

aciltıp.com/Yılbaşı

yazan Çağdaş Can
20/12/2016
Teknoloji acil tıp doktorunun bilişsel yükünü azaltabilir mi?
Güncel

Teknoloji acil tıp doktorunun bilişsel yükünü azaltabilir mi?

yazan Çağdaş Can
22/04/2026
Cerrahi Aciller

Pnömotoraks

yazan AYDIN SARIHAN
11/08/2017
Travma

Pasifik (Su içi sabıkalılar)

yazan Çağdaş Can
01/06/2015
  • Acil Tıp Video
  • TeknoAcil
  • Tıp Medya
  • Toksikoloji

© 2020 aciltıp.com

Welcome Back!

Sign In with Facebook
Sign In with Google
OR

Login to your account below

Forgotten Password? Sign Up

Create New Account!

Sign Up with Facebook
Sign Up with Google
OR

Fill the forms bellow to register

All fields are required. Log In

Retrieve your password

Please enter your username or email address to reset your password.

Log In
Sonuç yok
Tüm Sonucu Gör
  • Anasayfa
  • Resusitasyon
  • Toksikoloji
  • Travma
  • Kardiyak Aciller
  • Radyoloji
  • COVID 19
  • Tıpunk
  • Bloglar

© 2020 aciltıp.com